一般の方へ

骨折の解説

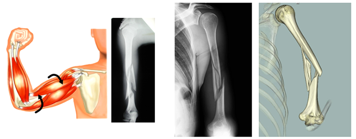
上腕骨骨幹部骨折

吉田 淳(大阪暁明館病院 整形外科)

はじめに

上腕とはいわゆる「二の腕」のことです。
上腕骨は肩と肘の間をつなぐ骨であり、骨幹部とはその中央部付近を指します。
上腕骨骨幹部骨折の多くは交通事故や転落などによって直接的な外力が加わったり、投球動作や腕相撲のように大きな捻じる力が瞬間的に加わることで発生します。

投球骨折・腕相撲骨折→らせん状の骨折になります

症状

骨折が生じると上腕部での強い痛みや腫れ、ぐらつきなどの症状が出現します。外から見て変形が分かる場合もあります。 骨折した部分の骨が皮膚をつきやぶり開放性骨折となることがあります。 指がつめたい、手や爪の色調が悪いなどの症状があれば血管損傷の可能性があります。また指がしびれる、指や手首を動かしにくいといった症状がある場合は神経損傷が疑われます。

検査・診断

まずはレントゲン写真を撮ります。必要に応じてCT検査も行います。 医師はそれらに加えて、神経や血管の損傷がないかを確認します。指がつめたい、動脈が触れないといった血管の損傷が疑われるときは超音波検査や造影剤を用いた検査を行うことがあります。これらをもとに治療方針を決定します。

治療

他の骨折と同様、保存的治療(ギブスや装具などで治療する)と手術治療があります。

1. 保存的治療

骨折部がずれないように添え木を用いて局所を固定した状態で三角巾を装着したり、胸部固定バンドを追加して上肢全体を体幹に密着する方法、脇の下から手部までギブスを巻いてその重みでずれた骨を整復するハンギングキャスト法などがあります。ただしこれらの方法だけでは肩関節や肘関節が固まってしまうことがあるので、途中でファンクショナルブレースという装具に変更して、肩や肘などの運動をしつつ治療をすすめる場合もあります。

2. 手術治療

プレート固定や髄内釘(芯棒を入れる)固定などの手術療法があります。 どのような手術方法が良いかは骨折の場所や状態などを見て判断します。 粉砕骨折や軟部組織の損傷が激しい開放性骨折など、様々な理由ですぐにプレート固定や髄内釘固定手術が行えず、本番の手術までに待機期間を要する場合は、骨折部の上下に経皮的に骨にピンを刺入して体外でロッドを用いて連結させて骨折部を安定化させる創外固定という手術を応急的に行う場合もあります。手術は全身麻酔で行われることが多く入院が必要になります。
神経や血管の損傷を疑う場合、開放性骨折などでは緊急の対応が必要ですので、対応可能な病院への転院が必要となることがあります。

プレート固定

髄内釘固定

創外固定

上腕骨骨折の合併症について
1. 橈骨神経麻痺(とうこつしんけいまひ)

橈骨神経は指を伸ばしたり、手くびを反らせる筋肉の運動にかかわります。 骨折した部分で神経が引っ張られたり圧迫されたりすると、手くびが垂れ下がったまま(下垂手)になってしまいます。 また親指の付け根周辺のしびれや感覚低下などが発生します。 自然回復することが多いですが、神経の状態を評価するために骨折の手術を行う際に直接神経を確認することもあります。

2. 偽関節(ぎかんせつ)

骨折した部分で骨がつかないことをいいます。 体の他の部位(腸骨など)から骨を採取し移植したり、内固定をやり直したりといった追加手術が必要になることがあります。

2025年12月