一般の方へ

骨折の解説

突き指 -たかが突き指、されど突き指―

多田 薫(金沢大学病院 整形外科)

槌指

ほとんどの方が一度は「突き指」を経験されたことがあるのではないでしょうか?突き指には軽い捻挫から靭帯の損傷、骨折、亜脱臼まで様々なケガが含まれていますが、そのほとんどは冷却したり安静にすることで後遺症を残すことなく治ります。しかし、突き指の中には装具による固定や手術などの治療が必要となる「槌指(つちゆび)」が含まれていることに注意が必要です。

槌指とは、指の第一関節を伸ばす伸筋腱(しんきんけん)が切れてしまった状態(図1)や、指の先の骨である「末節骨(まっせつこつ)」が折れてしまった状態(図2)を指します。腱が切れた場合は「腱性槌指(けんせいつちゆび)」、骨が折れてしまった場合は「骨性槌指(こつせいつちゆび)」と呼びます。この名前はケガをして曲がってしまった指の形が槌(つち:ハンマー)に似ていることに由来しています(図3)。

図1.伸筋腱が切れてしまった状態「腱性槌指」といいます

図1.伸筋腱が切れてしまった状態「腱性槌指」といいます

図2.末節骨が折れてしまった状態「骨性槌指」といいます

図2.末節骨が折れてしまった状態「骨性槌指」といいます

図3.くすり指の槌指(腱性槌指)

図3.くすり指の槌指(腱性槌指)

スポーツや日常生活の中で指先に強い力が加わった際に発生し、特にバレーボールやバスケットボール、野球などのボールを扱うスポーツで発生することが多いです。症状としては指の第一関節を伸ばせない、指の第一関節に痛みや腫れが生じるなどが特徴的であり、整形外科ではこれらの症状やレントゲン検査などから診断を行っています。

槌指は冷却や局所の安静では治らず、指の第一関節を伸ばせない、痛みや変形が残るなどの後遺症を生じることがあります(図4)。また、治療を始めるタイミングが早いほど回復しやすいと考えられています。突き指を受傷された場合は、槌指を生じていないかどうかを判断するため、早めに整形外科を受診することをお勧めします。

図4.中指の槌指を治療しなかったため、「白鳥の首変形」と呼ばれる指の変形を生じてしまいました

図4.中指の槌指を治療しなかったため、「白鳥の首変形」と呼ばれる指の変形を生じてしまいました

腱性槌指

第一関節を伸ばす伸筋腱が末節骨の付着部で切れてしまった状態であり、指の第一関節を伸ばせなくなります。治療としては、装具を用いて指の第一関節を伸ばした状態で固定する方法が行われています(図5,6,7)。切れてしまった伸筋腱が十分に修復されるまで、約6~8週間の終日固定が必要となります。また、固定期間中は装具の装着状況や指の状態を評価するため、定期的な通院が必要となります。

図5.市販の装具

図5.市販の装具

図6.シーネを用いた装具

図6.シーネを用いた装具

図7.熱可塑性素材を用いた装具

図7.熱可塑性素材を用いた装具

骨性槌指

伸筋腱の付着部で末節骨が骨折した状態です。指の第一関節を伸ばせなくなることが多いですが、伸ばせることもあります。治療としては、折れた骨が小さい場合は装具を用いた固定が行われていますが、折れた骨が大きい場合やずれている場合は手術が必要となることがあります。
手術は局所麻酔を行い、金属ピンなどを用いて折れた骨や指の第一関節を固定します(図8,9,10,11)。装具を用いた固定を行った場合も手術を行った場合も、約6週間の終日固定が必要となります。また、固定期間中は装具の装着状況や指の状態を評価するため、定期的な通院が必要となります。

図8.右小指の骨性槌指例

図8.右小指の骨性槌指例

図9.熱可塑性素材を用いた装具

図9.2本の金属ピンで治療を行いました

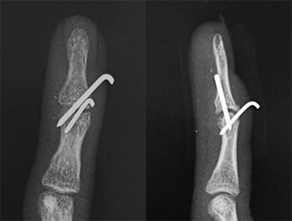
図10.右ひとさし指の骨性槌指

図10.右ひとさし指の骨性槌指

図11.3本の金属ピンで治療を行いました

図11.3本の金属ピンで治療を行いました

2025年12月