骨折の解説
成人の上腕骨遠位部骨折
小林 由香(東海大学医学部付属八王子病院 整形外科)
名称
上腕骨遠位部(じょうわんこつえんいぶ)は、上腕骨内側上顆(〜ないそくじょうか)、上腕骨外側上顆(〜がいそくじょうか)、上腕骨滑車(〜かっしゃ)と上腕骨小頭(〜しょうとう)から成ります。前腕の橈骨(とうこつ)と尺骨(しゃっこつ)と共に肘関節を構成しています。上腕骨遠位部骨折は肘の周辺で起こる骨折です(図1)。

図1.肘関節:親指側が「上腕骨外側上顆」、小指側が「上腕骨内側上顆」です。
骨折の原因
- 高エネルギー外傷:交通事故、労働災害、高所からの転落などの大きな力が加わることで発生する骨折は、若年者や中高年者に多くみられます。
- 低エネルギー外傷:転倒のような比較的小さな力で発生する骨折は、骨粗鬆症を合併しているような高齢の方に多くみられます。
主な骨折型
- 上腕骨通顆骨折(〜つうかこっせつ)
上腕骨内側上顆と上腕骨外側上顆を通る直線状の横骨折です(図2)。高齢の方に多く、転倒のような比較的小さな力で発生します。小児期に骨が成長していた部位(骨端線)に一致した骨折のため、骨折面が平面状で凹凸が少ないことから不安定な骨折です。そのため、初めは転位(ズレ)していない骨折であってもギプスで固定している間に転位が生じ、骨がつかないままになってしまうことがあります。

図2.上腕骨通顆骨折:上腕骨内側上顆と外側上顆を通る横骨折です。
- 上腕骨顆部関節内骨折(〜かぶかんせつないこっせつ)
上腕骨内側顆、上腕骨外側顆、上腕骨滑車や上腕骨小頭を含む骨折です(図3)。若年者や中高年者に多く、高エネルギー外傷のような大きな力で発生します。関節面で骨折しているため整復(良い位置に戻すこと)が難しく、ギプスで固定して骨をつけようとすると、関節面が転位(ズレ)したままになります。

図3.上腕骨顆部関節内骨折:上腕骨内顆、上腕骨外顆、
上腕骨滑車と上腕骨小頭を含む骨折で、関節面に転位があります。
- 上腕骨小頭・滑車骨折(〜しょうとう・かっしゃこっせつ)
上腕骨小頭のみの骨折や上腕骨小頭と滑車の両方が骨折している場合があります(図4)。立った位置からの転倒など軽微な力で骨折することも多く、骨粗鬆症のある女性や高齢の方に多く発生します。上腕骨の関節面に、橈骨が突き上げるような外力が加わるため上方に転位(ズレ)していることが多く、ギプスで固定しても骨はつきません。

図4.上腕骨小頭・滑車骨折:レントゲン像で骨片(矢印)が上方に転位しています。
治療法
- 保存的治療:ギプスや装具で固定して骨がつくのを待つ治療のことです。ここで取り上げる骨折は、転位しやすい骨折やギプスでは転位を元に戻せない骨折が多いため、ほとんど場合に適応はありません。
- 手術的治療:全身麻酔で、骨折を整復した後に金属のプレートやスクリューを用いて骨折した部分を固定します(図5,7)。特に希望がなければ、プレートやスクリューは抜去しません。
上腕骨顆部関節内骨折や粉砕した骨片がある場合は、肘関節内を直接確認するために尺骨の肘頭(チュウトウ)部で骨切り(骨ノミや電動骨ノコギリを使用)を行います。肘頭に上腕三頭筋(ジョウワンサントウキン)をつけたまま反転し、骨折した部分の手術を行います。この場合は、骨折を固定した後で肘頭を金属ワイヤーで固定します(図6)。

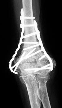
図5.上腕骨通顆骨折:金属プレートを2枚使用し、スクリューで固定しました。

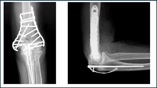
図6.上腕骨顆部関節内骨折:肘頭部を骨切り後、骨折を整復し固定したので、
肘頭はワイヤーで締結してあります。

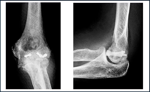
図7.上腕骨小頭・滑車骨折:スクリュー3本で骨片を固定しています。
合併症
【リハビリテーション】
術後は安静のため、ギプスシーネで固定を行います。シーネを外した後は、肘関節の屈伸運動を始めます。通常のリハビリテーション以外に、屈曲用と伸展用の動的装具を作成し、毎日朝晩に自宅でのリハビリテーションを要することもあります。
もし、リハビリテーションを行っても肘関節が固くなって動きが悪い場合は、骨がついてから、全身麻酔下に肘関節の周囲を剥離する手術が必要となることがあります。
2025年12月